Dog feeding

Why can't dogs be given pork?

Why can't dogs be given pork?
Content
  1. Pork Eating Myths
  2. Is there any benefit?
  3. What is dangerous?
  4. How to give meat?

When getting a pet, we often automatically transfer it to the status of a family member, therefore, for convenience, its diet also becomes similar to the human diet.

According to statistics from the Expert and Analytical Center for Agribusiness, the global production of different types of meat is in the following ratio (in decreasing order):

  1. a hen;
  2. pork;
  3. beef;
  4. lamb and goat;
  5. other meat.

Around the first two, there are many myths and a bunch of prohibitions. And if the concerns and prohibitions of veterinarians are clear with chicken - this is the danger of sharp tubular chicken bones for the intestines of the dog and the high likelihood of allergic reactions, then with pork, not everything is clear to everyone.

Pork Eating Myths

  • Pork is poorly digested by dogs. The assimilation of this type of meat is actually better than chicken, duck, rabbit and beef. Better pork canine digestion digested only lamb.
  • Fat pork. The body of any living creature needs proteins, fats, carbohydrates. But since fat is not evenly distributed in the body of any animal, theoretically there are more fatty areas in any meat. As for pork, it is recommended to give animals meat, which contains no more than 60% fat, this applies to other species. To avoid digestive upset in dogs with sensitive intestines, choose leaner pieces when buying pork.

A spatula or tenderloin is suitable in the dog's diet. It is not recommended to use pork in the puppies menu, as protein and fat are contained in the wrong ratio (100 grams of meat contains an average of 17 grams of protein and 20 grams of fat). For kids, pork liver is suitable, in which 3.8 grams of protein is needed per 100 grams of product.

  • Feeding a dog pork will inevitably lead to its obesity.. An important argument, but, according to scientists, it has no reason, since the basic principle of dog nutrition is balance. Some manufacturers of animal feed, such as Royal canin, Grandin, include pork in small quantities for flavoring variety in their products, and Akana, the producer of holistic feed, has a position of lean pork and pumpkin. And if we look at the composition of these feeds, they are all balanced in terms of the ratio of proteins, fats and carbohydrates, despite the fact that they contain pork meat.

Diversify the food of your four-legged friend, giving several different types of protein during the week. If you plan to include pork in the dog’s diet, then do this no more than once a week.

  • Pork increases the risk of intestinal torsion. The main cause of this especially dangerous disease in dogs is overeating or loading immediately after eating. And here the recommendation of working and active dogs to feed fractionally is more likely to be appropriate, and pork is certainly not to blame for anything.
  • Raw pork is healthier. Many well-meaning owners feed their pets raw meat, believing that it is healthier. You can’t give a raw product to a dog, as there can be many infections and parasites in the raw meat that are equally dangerous for the dog and the pig.
  • Pork Increases Blood Cholesterol. An increase in dog blood cholesterol theoretically takes place, although studies in this direction have been carried out only in humans. Theoretically, raising cholesterol can cause not only pork, but also other fat-rich foods.

Is there any benefit?

Like any other product, pork has positive properties, and there are not so few of them. In lean pork, a large amount of protein (20 g per 100 g of meat). It is rich in vitamins of group B, minerals - phosphorus, magnesium, copper and zinc and others. Of particular value are pork offal. The liver contains vitamin B 12, the heart is rich in potassium and iodine.

In addition, a large amount of fatty acids and fats acts as a means of preventing diseases of the skin and coat. Low-fat pork can be given occasionally to outdoor enclosures in the winter.

Due to its high calorie content, this type of meat helps the dog to warm up.

What is dangerous?

But all the positive aspects of pork meat end there. And the main reason for this is parasitic and infectious diseases that dogs can get sick when eating meat that has not been tested and has not been properly processed. Here are some of them.

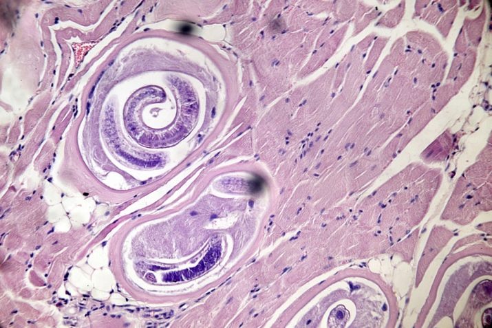
  • Nematodes. The parasite lives in the small intestine of the dog. The life span of the parasite is 4-6 months. The female lays about 200,000 eggs per day, seeding the environment. After the pet eats meat, the parasite's egg enters the intestine. A larva emerges from it, which, penetrating through the walls of the intestine, goes into the lungs in a small circle of blood circulation, causing inflammation and coughing there. Together with sputum, it enters the oral cavity and enters the stomach and intestines.

Parasites constantly injure the gastrointestinal tract and lung alveoli, causing anemia and a decrease in immunity, pathogenic microbes can complicate this process. A high concentration of parasites can cause a blockage in the intestines.

  • Trematodes (Pork tapeworm). Tape helminth, lives in the small intestine. The length of his body can reach 1.5-2 meters. The head is attached to the intestinal wall. Segments containing helminth eggs grow from it. Members can be up to 1000 pieces. The parasite, secreting waste products, can have a toxic-allergic effect on the animal's body. In addition, it can cause digestive upsets: nausea, vomiting, and sometimes diarrhea and abdominal pain.

The parasite absorbs nutrients from the intestinal lumen. The animal is constantly anxious, losing weight.The disease can lead to hypochromic anemia.

  • Trichinosis. A dog can be both an intermediate and final host of a parasite. Once in the small intestine, the female and the male parasite mate, after which the males die, and the females secrete up to 10,000 larvae, which are distributed throughout the body with blood flow, mainly localized in the muscles. The first clinical signs of infection can occur after 3 days. The dog has a fever, diarrhea. The animal is losing weight dramatically. When localized in the muscles, the parasite causes an inflammatory process in them, accompanied by pain, which causes impaired coordination of movement and tremors.

The cardiovascular system is also affected and the body as a whole suffers.

  • Aujeszky's disease or pseudorabies. Infection of an animal occurs by contact with a sick animal or by eating infected raw meat. The disease proceeds with lightning speed - in 1-2 days, and in almost 100% of cases it ends in death. Symptoms: itching in the head and profuse salivation, which, however, looks like signs of rabies.

As can be seen from the above, negative aspects prevail over positive ones. And since all of these diseases can be transmitted to humans, veterinarians prohibit the use of pork in the diet of dogs.

How to give meat?

In order for the pork in the dog’s diet not to have negative consequences, they need to properly feed the animal. Making a diet for a pet is a very responsible task, especially if you still decide to include this type of meat in the diet.

  1. In no case do not give animals wild meat.
  2. Get a product that has passed the veterinary sanitary examination.
  3. Give the dog only boiled meat. At a temperature of 90-100 degrees, all pathogenic microbes and microorganisms in it die within a few minutes. The use of fried meat is prohibited. The danger in this case lies not in the meat itself, but in the vegetable oil on which the frying process is carried out. Deep freezing pork does not kill all bacteria and helminths in it.
  4. Choose low-fat pieces for your pet and do not forget that offal (pork liver, heart, spleen, lungs, etc.) will greatly benefit the four-legged.
  5. Do not use pork in the diet on an ongoing basis, so as not to harm the health of the pet. Once a week to include it in the diet will be enough.
  6. If you are giving pork or offal for the first time, pay attention to the condition of the animal. At the slightest sign of intolerance, replace it with another type of protein.

    If you find these requirements difficult and your pet likes pork, you can use feeds based on this kind of meat.

    Many European and Canadian manufacturers use meat suitable for human consumption in the manufacture of feed. The special technology of processing the feed during the extrusion process kills the possible pathogen, making the feed safe for your pet.

    Whether to introduce pork to the dog’s diet is the owner’s decision. It is important to comply with all of the above requirements, then your pet will not have health problems.

    See why the following video doesn’t explain why a dog should be given pork.

    Write a comment
    Information provided for reference purposes. Do not self-medicate. For health, always consult with a specialist.

    Fashion

    beauty

    Relaxation